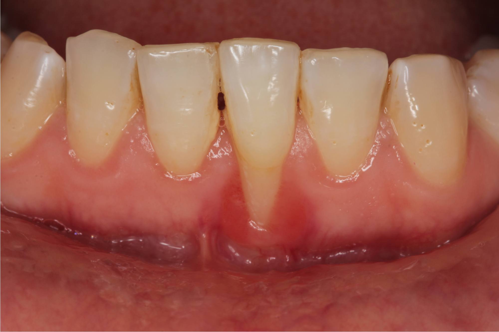
مدار الساعة -يحدث تراجع اللثة أو انحسارها لعدة أسباب، منها الالتهابات، وتنظيف الأسنان بفرشاة غير مناسبة، وصرير الأسنان، والشيخوخة، والتدخين، والإصابات. ويؤدي انحسارها إلى كشف الجذور في الأسفل.
كما تسبب عوامل أخرى انحسار اللثة، مثل التغيرات الهرمونية التي تصاحب الحمل، ومرض السكري، والحشوات التالفة، والجسور التي لم تعد مناسبة، والاستخدام طويل الأمد لأدوية تسبب الجفاف.وإجابة على سؤال: هل يمكن أن تنمو اللثة مرة أخرى؟ لا يمكن أن تنمو اللثة بشكل طبيعي. ومع ذلك، يمكن الوقاية من مزيد من تراجع اللثة، ويمكن للجراحة استعادة بعض الأنسجة.ويعتمد علاج انحسار اللثة على السبب الكامن وراء ذلك، والذي قد يتطلب أو لا يتطلب جراحة.وتعتبر العناية الجيدة بالتنظيف بالفرشاة، وحضور مواعيد تنظيف الأسنان لدى الطبيب بانتظام، من العوامل التي توقف انحسار اللثة.ويمكنك استشارة الطبيب بخصوص زاوية التنظيف بالفرشاة المناسبة، وأيضاً إمكانية استخدام الواقي المناسب للأسنان أثناء النوم لمنع الضغط عليها.ويعد التقشير وكشط الجذر من أولى العلاجات لانحسار اللثة التي قد يوصي بها طبيب الأسنان. تزيل هذه الإجراءات الجير والبلاك من تحت خط اللثة، حيث لا يمكن للفرشاة المنتظمة الوصول إليها. بعد ذلك، سيستخدم طبيب الأسنان أدوات خاصة لتنعيم الجذور، مما يساعد اللثة على الالتصاق بالسن.وبالنسبة لحالات الانحسار الشديد قد يقترح طبيب الأسنان إجراء جراحة يأخذ فيها قطعة صغيرة من أنسجة اللثة من مكان آخر في الفم ويستخدمها لتغطية جذور الأسنان المكشوفة.وتوجد أيضاً تقنية جراحة الثقب، وهي علاج جديد لانحسار اللثة الخفيف إلى المتوسط. وهو إجراء طفيف التوغل يتضمن إحداث ثقب صغير في أنسجة اللثة فوق جذر السن المكشوف. ويقوم الطبيب بإدخال أداة في الحفرة لفصل اللثة عن السن، ثم تمديد اللثة وإعادة وضعها فوق جذر السن المكشوف.هل تنمو اللثة مرة أخرى بعد انحسارها؟
مدار الساعة ـ











