مدار الساعة ـــ يعتقد الأطباء أن نوبة الفواق التي تعرض لها رجل هندي استمرت أربعة أشهر قد يكون سببها ورم في المخ.
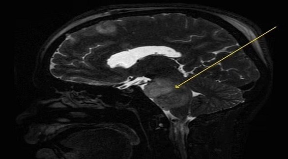
وسعى الرجل المجهول الهوية، وهو في أوائل الثلاثينيات من عمره، إلى الحصول على علاج طبي لصداع تسبب له بالألم لأكثر من أسبوعين، كما اشتكى من القيء ثلاث مرات في اليوم، بحسب تقرير حالة عن مرضه.وبدأت صحة الرجل في التدهور قبل أربعة أشهر، عندما بدأ يعاني من الفواق المتكرر، حتى أصبح الفواق في النهاية مستمراً، مما أثر على كل من أنماط نومه وتناوله للطعام، وتم إجراء فحوصات الدماغ للوصول إلى جوهر مرضه الغامض.وكشفت النتائج عن إصابة الرجل بورم دبقي جسري منتشر، وهو نوع شديد العدوانية ويصعب علاجه من أورام المخ، وبدأت الفواق لدى الرجل بالتوقف بعد بدء العلاج من السرطان. وافترض الخبراء أن الورم يؤثر على جزء من جذع الدماغ المسؤول عن التحكم في الأعصاب والعضلات التي تثير عادة استجابة الفواق.وقال الرجل إنه طلب من الأطباء المساعدة في علاج الفواق من قبل، ولكن دون جدوى، وبعد سلسلة من اختبارات الدم والفحص البدني، قرر المسعفون أن يخضع الرجل لفحص الأشعة المقطعية، ووجدوا آفة في دماغه، قبل أن يخضع لفحص تصوير بالرنين المغناطيسي أكثر تفصيلاً.وكشف تصوير بالرنين المغناطيسي عن كتلة من الأنسجة تدل على وجود ورم دبقي جسري، وهو نوع من ورم الدماغ ينمو على جذع الدماغ، وهو الجزء الذي يربط العضو بالعمود الفقري، بالإضافة إلى نزيف داخلي داخل الدماغ نفسه.ومن المستحيل إزالة الأورام الدبقية الجسرية جراحياً بسبب مدى ترابطها مع جذع الدماغ الفعلي، وتم إرسال الرجل لإجراء عملية جراحية، حيث قطع الجراحون دماغه لتخفيف الضغط داخل جمجمته، والذي نتج عن تراكم السوائل في الدماغ. وبعد ثمانية أيام من الشفاء، خضع الرجل لدورة علاج إشعاعي لمدة ستة أسابيع في محاولة لقتل الورم.وقال الدكتور ناجاسوبرامانيام فيمبالي، من معهد عموم الهند للعلوم الطبية "بدأ الفواق لدى المريض بالتلاشي بعد بدء العلاج الإشعاعي وبعد شهر واحد من العلاج الإشعاعي، هدأ الفواق بشكل كبير".وأضاف الدكتور فيمبالي أن الحالة أثبتت أهمية تحديد الأطباء لأسباب الفواق المستمر في الوقت المناسب لضمان عدم تعرض المريض لمزيد من المضاعفات، بحسب صحيفة ديلي ميل البريطانية.يعاني من الحازوقة 4 أشهر بسبب ورم في المخ
مدار الساعة ـ











