مدار الساعة - أصدرت امرأة أسترالية تحذيراً مفجعاً من مخاطر التدخين الإلكتروني، بعد أن أصيبت ابنتها البالغة من العمر 15 عاماً بمرض رئوي نادر يهدد حياتها جراء تعاطيها السجائر الإلكترونية.
نُقلت الشابة الصغيرة، داكوتا ستيفنسون من سيدني، إلى المستشفى بسبب ارتفاع درجة حرارتها وألم في الظهر، في سبتمبر الماضي، بعد سبعة أشهر من بدء التدخين الإلكتروني مع أصدقائها في المدرسة.
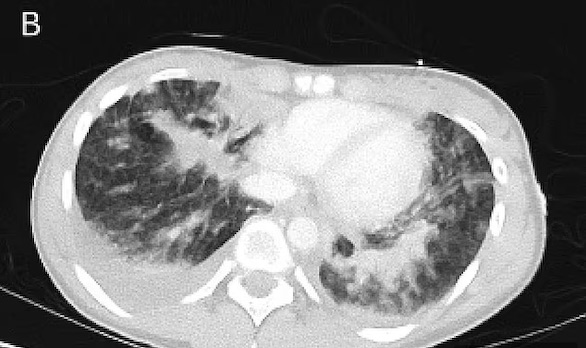
تم تشخيص داكوتا بنقص الأكسجة في غضون ساعات، مما يعني أن رئتيها لم تحصل على ما يكفي من الهواء، وقضت ثلاثة أيام تحت جهاز التنفس.
ويعتقد أطبائها في مستشفى راندويك للأطفال، أنها كانت تعاني من حالة رئوية تسمى "إيفالي" والتي ظهرت لأول مرة في الولايات المتحدة في عام 2019.
يُعتقد أن حالة "إيفالي" وهي اختصار باللغة الإنكليزية يشير إلى إصابات الرئة المرتبطة بالتدخين الإلكتروني، ناتجة عن تدخين سجائر إلكترونية تحتوي على رباعي هيدروكانابينول (THC)، وهي مادة ذات تأثير نفسي توجد أيضًا في الماريجوانا، ومضافات فيتامين E أسيتات.
ولم تكتشف والدة داكوتا، ناتاشا ستيفنسون، أن ابنتها بدأت تدخين السجائر الإلكترونية إلا عندما تم نقلها إلى المستشفى.
وقالت ستيفنسون، إن ابنتها كانت مريضة جداً، وأن الأطباء استخرجوا من رئتيها حوالي 10 حقن مليئة بالسوائل المتراكمة في رئيتيها جراء التدخين الإلكتروني.
وكانت المراهقة قد بدأت بتدخين السجائر الإلكترونية في أوائل عام 2020 قبل أن تنتقل إلى استخدام خراطيش النيكوتين، حيث كانت تدخن ما يصل إلى ثلاث مرات في الأسبوع مع أصدقائها.
وبعد أن خرجت داكوتا من المستشفى بعد أسبوع من تلقي العلاج، كانت هناك أورام غير طبيعية تسمى العقيدات لا تزال تظهر في فحوصات الرئة، مما شكل تهديداً خطيراً على حياتها.
وقد حذرت والدة الشابة، المراهقين من تدخين أي نوع من السجائر سواء أكانت سجائر إلكترونية أو تقليدية، لما لها من مخاطر حقيقية تهدد الحياة.
يذكر بأن المراكز الأمريكية لمكافحة الأمراض والوقاية منها، أبلغت عن 2،807 حالة "إيفالي" بين مارس 2019 وفبراير 2020، وفق ما أوردت صحيفة ديلي ميل البريطانية.











